Glomus Yugular intratimpánico

Varón de 82 años que consulta por haber tenido una otitis supurada de oído izquierdo. Hacia un mes y con sensación de ruidos en el oído, como crujidos, que no termina de mejorar con tratamiento.

Dres. Arjona Montilla C, García-Giralda M, Sánchez Rozas JA. Hospital Comarcal de Baza (Granada).

Publicación 01-02-2016

Introducción

El Glomus Yugular (Paraganglioma del Foramen Yugular) es un tumor vascular infrecuente de crecimiento lento localizado en la base del cráneo. En ocasiones penetra por el suelo de la la caja timpanica produciendo sintomatología ótica. La clinica del glomus yugular intratimpánico, a menudo es un ruido pulsatil en el oído afecto, coincidiendo con el batido del corazón, puede haber pérdida de audición por ocupación de la caja timpanica y raramente pueden presentarse con sangrado o dolor de oído.

También pueden causar disfonia y disfagia por afectación de pares craneales, en la salida del agujero rasgado posterior. Puede ser diagnosticado o sospechado a menudo, en un simple examen de oído con un otoscopio o microscopio como una masa rojiza o purpura detrás del tímpano. Una impedanciometria también puede indicar una curva con pulsaciones.

Descripción

Varón de 82 años que consulta por haber tenido una otitis supurada de oído izquierdo. Hacia un mes y con sensación de ruidos en el oído, como crujidos, que no termina de mejorar con tratamiento.

En la otoscopia se aprecia tímpano izquierdo ligeramente hiperhémico en la zona antero-inferior. La impedanciometria es normal, la audiometría presenta una hipoacusia sensorial bilateral de 55 db.

En la revisión del mes sigue la misma mancha sonrosada en la zona anterior del tímpano izquierda. La impedanciometría es normal, aunque la curva del oído izquierdo es más baja.

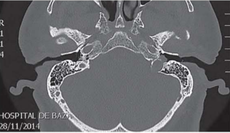
Se solicita un TAC de oído para valorar un posible granuloma intratimpanico, el cual informa de un glomus yugular (figura 1).

Se decide conducta expectante y revisiones periódicas.

Discusión

Se han utilizado distintos términos en la literatura para denominar a este tipo de tumor: glomus, tumor glómico, quemodectomas y paraganglioma; siendo la más recomendable este último porque hace referencia a su origen histológico.

Los paragangliomas son tumores benignos originados a partir de un tejido especializado (paraganglios) formado por un conglomerado de células no cromoafines dispersas por el organismo, con un origen embriológico en la cresta neural y con probable función quimiorreceptora, de control de temperatura y presión arterial.

La localización más frecuente en la cabeza y cuello, por orden de frecuencia, es a nivel del cuerpo carotídeo, yugulotimpánicos y del nervio vago.

Como el tumor del glomus yugular crece en la base del cráneo en el hueso temporal, en un área llamada agujero yugular, por donde la vena yugular y algunos nervios importantes salen del cráneo, se puede dar lugar al sindrome de Sicard-Collet, cuando existe la afectación de los cuatro últimos pares craneales: el nervio glosofaringeo, el nervio espinal, el nervio vago y el nervio hipogloso.

Con dificultad para deglutir (disfagia), ronquera, dolor de garganta, dolor de hombro, aparte de los problemas auditivos como hipoacusia, vértigo y pulsaciones auditivas en el oído.

Los tumores del glomus yugular se diagnostican por medio de un examen físico y exámenes de imagen, como angiografia cerebral, resonancia magnética craneal o tomografía computarizada craneal. Estos tumores generalmente ocurren al final de la vida, alrededor de los 60 a 70 años, pero pueden aparecer a cualquier edad y su causa se desconoce. Los tumores glómicos se han asociado con cambios (mutaciones) en un gen responsable de la enzima succinato deshidrogena (SDH).

El manejo del glomus yugular depende de diversos factores, como la edad, estado de salud, sintomas de presentación, tamaño del tumor y preferencias del paciente. Las opciones de tratamiento incluyen la observación periódica, excision parcial o total (en algunos casos, se lleva a cabo un procedimiento llamado embolización antes de la cirugía para evitar que el tumor sangre demasiado durante la intervención quirúrgica), radioterapia o radiocirugía esterotáctica.

Descargar PDF

Archivo: PDF Tamaño: 0.42

Bibliografia

  • Marin Garrido C, De Miguel García F, Naya Gálvez MJ, Carmen Sámperiz L, Hernández Montero E, Damborenea Tajada J, Ortiz García A. Paragangliomas yugulotimpánicos Nuestra experiencia O.R.L. ARAGON'2000; 3 (1) 27-31.
  • Spector GJ, Ciralsky R, Maisel RH, Oruga JH. Multiple glomus tumors in the head and neck. Laryngoscope 1975; 85: 1066-75.
  • Gruffermas S, Gillman HW, Pasternak LR, Perterson CL, Young WG Jr. Familial carotid body tumors: case report and epidemiologic review. Cancer 1980; 46: 2116-22.
  • Mandigers CM, van Gils AP, Derksen J, van der Mey AG, Hogendoorn PC. Carcinoid tumor of the jugulotympanic region. J Nucl Med 1996; 37(2): 270-2.
  • Muros MA, Lamas Elvira JM, Rodríguez A, Ramírez A, Gómez M, Arráez MA, Valéncia E. Vilchez R. 1111n-pentetreotide scintigraphy is superior to 1231-MIBG scintigraphy in the diagnosis and location of chemodectoma. Nucl Med Commun 1998; 19(8): 735-42.
  • Tisch M. Maier H: Exposed superior bulb of the internal jugular vein. Differencial hearing loss diagnosis with pulse synchronous tinnitus. HNO 1998; 46(11): 944-6.
  • Marangos N. Schumacher M. Facial palsy after glomus jugulare tumour embolization. J Laryngol Otol 1999; 113(3): 268-70.
  • Liscák R, Vladyka V, Simonová G, Vymazal J, Janousková L. Leksell gamma knife radiosurgery of the tumor glomus jugulare and tynpanicum. Stereotact Funct Neurosurg 1998; 70(suppl 1): 152-60.
  • Foote RL, Coffey RJ, Gorman DA, Earle DJ, Schomberg PJ, Kline RW, Schild SE. Stereotactic radiosurger for glomus jugulare tumors: a preliminary report. Int J Radiat Oncol Biol Phys 1997; 38(3): 491-5.
  • Held EL, Gal AA, DeRose PB, Cohen C. Image cytometric sections, Prognotic significance. Anal Quant Cytol Histol 1997; 19(6): 501-6.
  • Gosepath J, Welkoborsky HJ, Mann W. Biology and growth of tumors of the glomus jugulotympanicum and glomus caroticum. Laryngorhinootologie 1988; 77(8): 429-33.

Si quieres participar enviando casos clínicos, imágenes clínicas comentadas o formación médica, puede enviárnolos a gaesmedica@cpp-proyectos.com.

Normas editoriales
Descargar

PDF Tamaño: 205 kb