Lipoma cervical

Paciente mujer de 30 años de edad, sin antecedentes personales ni familiares de interés, que acude por presentar una tumoración cervical de gran tamaño, de crecimiento rápido. Se encuentra asintomática.

Herreros Sánchez MA, Urbano Urbano JJ, González Palomino A, Guillén Guerrero V, Sánchez González FJ. Complejo Hospitalario de Mérida (Badajoz).

Publicación 01-07-2017

Descripción del caso clínico

Presentamos el caso de una paciente mujer de 30 años de edad, sin antecedentes personales ni familiares de interés, que acude por presentar una tumoración cervical de gran tamaño, de crecimiento rápido. Se encuentra asintomática.

La exploración cervical evidencia una tumoración única, a nivel lateral izquierdo, que no sobrepasa la línea media. Es de consistencia blanda, móvil, no adherida a planos profundos y no dolorosa a la palpación (figura 1), siendo el resto de la exploración otorrinolaringológica rigurosamente normal.

Como primera orientación diagnóstica se plantea un diagnóstico diferencial entre linfangioma, quiste branquial y lipoma cervical. Se solicita una punción aspiración con aguja fina (PAAF) y una TC cervical.

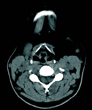
La PAAF de dicha tumoración se corresponde con tejido adiposo y en la TC cervical con contraste se visualiza una masa de estirpe grasa con dimensiones de nueve por cinco por un centímetro que se extiende desde la celda submaxilar hasta la musculatura omohiodea en sentido craneocaudal y desde la cara lateral del tiroides hasta la cara medial de la vena yugular interna (figura 2).

El tratamiento es quirúrgico, consistiendo en la exéresis de la tumoración cervical izquierda, (figura 3 y 4) cuyo estudio anatomopatológico informa de lipoma sin atipias. La evolución postquirúrgica es satisfactoria.

Discusión

Las masas cervicales suponen un reto diagnóstico debido a la extensa tipología de lesiones que se encuadran bajo este término. Para establecer un diagnóstico diferencial es importante comenzar con un enfoque etiológico relacionado a la edad, pues cada patología según su localización específica es predecible para cada grupo de edad, también debe realizarse una cuidadosa historia clínica y un examen físico detallado. El diagnóstico por imagen juega un papel importante en la estrategia diagnóstico-terapéutica.

En el caso de pacientes menores de 40 años (niños y adultos jóvenes) las masas cervicales suelen corresponderse con masas benignas, frecuentemente asintomáticas y con una exploración que orienta a un patrón inflamatorio; siendo las masas más habituales, de mayor a menor frecuencia: los quistes del desarrollo, adenopatías inflamatorias y tumores de características benignas.

En cuanto a los tumores de características benignas en este grupo etario, se debe distinguir entre masas en línea media o laterocervicales. En línea media se sospechará de tumores de istmo tiroideo, mientras que la localización a nivel laterocervical orienta hacia un tumor vascular (glomus, hemangioma), de glándulas salivares, lipomas u otros tumores de partes blandas, o tumores de tiroides(1).

Los lipomas son los tumores mesenquimales de partes blandas más frecuentes, que se clasifican en lipoma clásico o lipoma variants que comprende las siguientes entidades: angiolipoma, lipoma condroide, miolipoma, lipoma pleomorfo, lesiones hamartomatosas, proliferaciones lipomatosas difusas e hibernomas(2). Los lipomas pueden localizarse prácticamente en cualquier área corporal, se estima que un 13% aparecen a nivel cervicofacial, presentándose con mayor frecuencia a nivel retrocervical como masas únicas de pequeño tamaño o en el contexto de enfermedad genética como masas de múltiples y de mayor tamaño.

El Síndrome de Madelung, o lipomatosis simétrica múltiple, es una enfermedad rara que se caracteriza por la existencia de un depósito de tejido de graso en el cuello, la nuca, tronco, los hombros y la parte proximal de los miembros. Afecta fundamentalmente a hombres de edad media con antecedente de etilismo crónico. El único tratamiento efectivo es la resección quirúrgica, pero al tratarse de depósitos carentes de cápsula presentan una mayor tasa de recidiva y por tanto necesidad de reintervenciones(3).

Los lipomas en el área ORL suelen ser masas asintomáticas, en ocasiones levemente dolorosas a la palpación, siendo la estética el principal motivo de consulta. El diagnóstico se establece mediante una PAAF y pruebas de imagen, a través de una ecografía cervical o TC cervical dependiendo de las dimensiones de la masa y en consecuencia de la necesidad de una valoración prequirúrgica. La RMN es útil en caso de sospecha de invasión de estructuras vecinas.

El tratamiento de elección consiste en la exéresis quirúrgica de la masa, aunque también se han descrito otras técnicas como la liposucción o la inyección de corticoesteroides pero estas presentan un mayor número de recidivas(4).

FIGURA 1: Masa cervical izquierda.
FIGURA 2: TC corte axial.
FIGURA 3: Cervicotomía.
FIGURA 4: Pieza quirúrgica.
Descargar PDF

Archivo: PDF Tamaño: 0.93

Bibliografia

  1. Martínez Novoa MD, Mas Mercant S, Sarriá Echegaray P, Gallego M. Diagnóstico diferencial de las masas cervicales. Semergen 24:926-30.
  2. Medina C, Schneider S, Mitra A. Gigant submental lipoma: Case report and review of the literature. Can J Plast Surg 2007; 15-4.
  3. Garín Alegre M, de Grado Molinero M, Argueta Ruano L. Enfermedad de Madelung. Semergen. 2012; 38 (4):211-213.
  4. Mogedas Vegara, Rubal Ledo, Gutiérrez Santamaría, Sierra Perilla, Pamias Romero y Guillermo Raspal. Lipoma cervical gigante: a propósito de un caso. Rev Esp Cir Oral Maxilofac. 2012; 34(3):118-121.

Si quieres participar enviando casos clínicos, imágenes clínicas comentadas o formación médica, puede enviárnolos a gaesmedica@cpp-proyectos.com.

Normas editoriales
Descargar

PDF Tamaño: 205 kb