Neurinoma del acústico bilateral

Paciente de 63 años de edad, sin antecedentes personales de interés, que acude a consulta de Otorrinolaringología por hipoacusia bilateral, más acusada en el oído derecho.

Dres. Mata Ferrón M, Castellano García P. Hospital San Juan de la Cruz de Úbeda (Jaén)

Publicación 01-10-2017



El neurinoma del acústico, también llamado schwannoma vestibular, se origina en las células de Schwann de los nervios vestibulares. Es el tumor más frecuente del conducto auditivo interno y ángulo pontocerebeloso, llegando a cifras cercanas al 10% de todos los tumores endocraneales y al 90% del ángulo pontocerebeloso, con una incidencia anual que va desde 7,8 a 12,4 tumores por millón de habitantes.



Se suele presentar de manera esporádica, algunos casos familiares, y en otros habitualmente en el contexto de una neurofibromatosis tipo 2. Este se origina como resultado de mutaciones en un gen supresor de tumores alojado en el brazo largo del cromosoma 22 que codifica la proteína llamada merlina, que es la encargada de controlar la proliferación de las células de Schwann.

La pérdida auditiva es el síntoma más frecuen-te, llegando a estar en el 95% de los casos, siendo en la mayoría unilateral lentamente pro-gresiva. El patrón más frecuente corresponde a una hipoacusia neurosensorial con pérdida de frecuencias agudas, aunque cualquier patrón puede estar presente. La hipoacusia súbita se puede presentar durante su evolución hasta en el 25% de los casos, sin embargo el schwan-noma vestibular es causa de solo del 1% a 3% de estas.

El acúfeno es el segundo síntoma en frecuencia, presente en cerca del 65% de los pacientes, ha-bitualmente de tono agudo y en el lado afectado por el tumor. Por otro lado, el vértigo solo se ve en cerca del 20% en los que está afectado el vestibular inferior, siendo más común en los tumores pequeños. Los síntomas derivados de los nervios facial y trigémino ocurren temporal-mente después de los déficits auditivos y vesti-bulares y, en general, corresponden a tumores de más de 2 cm de diámetro. Los pacientes tienen, habitualmente, parestesias faciales e incluso ausencia del reflejo corneal. Espasmos pérdida de la fuerza en los músculos faciales se ve en el 17% de los casos; ya la cefalea, alte-raciones del estado mental, náuseas y vómitos son propios de la etapa hidrocefálica, ya más avanzada. Además, se pueden ver alterados los nervios III, IV o VI causando diplopia o bien los nervios IX y X causando disfagia, aspiración y carraspera. Clásicamente, el cuadro clínico del neurinoma del acústico ha sido dividido en 4 estadios de acuerdo al grado de compromiso del conducto auditivo interno y cisterna ponto-cerebelosa dando distintos síntomas y signos de acuerdo al grado de compresión, llegando en su etapa final a un estado hidrocefálico. En general, se pueden extender en tamaño hasta 4 cm de diámetro considerándose pequeño cuando mide menos de 1,5 cm, moderado 1,5-3 cm y grande de 3 cm o más. Por otro lado, y siguiendo los criterios del Comité de Audiología y Equilibrio de la Academia Americana de Oto-rrinolaringología y Cirugía de Cabeza y Cuello, el tamaño tumoral se puede estimar como la raíz cuadrada del producto del diámetro mayor en dirección paralela al puente petroso, por el diámetro máximo perpendicular al primero, re-dondeando el resultado al 0,5 cm más cercano (solo se considera en esta medición la porción extracanalicular del tumor). La audiometría es la prueba más útil en la orientación diagnóstica, evidenciando una hipoacusia neurosensorial asimétrica en tonos agudos en casi el 70%, sin embargo solo el 5% de los pacientes con este patrón audiométrico padecen neurimoma del acústico. La pérdida del reflejo estapedial o su disminución es frecuente en la mayoría de los schwannomas vestibulares, pero su normalidad no excluye el diagnóstico. Las pruebas vestibu-lares en general no aportan datos significativos en el diagnóstico pudiendo encontrarse en la electronistagmografía reducción de la respuesta de la prueba calórica en el oído afectado, sin embargo carece de especificidad suficiente. Pese a la orientación que nos da la audiología mediante la audiometría y los potenciales evoca-dos auditivos del tronco cerebral (ausencia o retardo de latencia en la onda V en el oído afectado), la prueba con mayor impacto corres-ponde a la resonancia magnética con gadolinio, constituyendo actualmente el gold standard en el diagnóstico.

Aún existe controversia respecto a la conducta a seguir frente a estos pacientes dada su lenta, aunque muchas veces impredecible historia natural por lo que tampoco existe un real consenso acerca del mejor manejo de esta patología, llevándose a cabo en la actualidad diferentes conductas, como el manejo expec-tante con pruebas de imagen periódicas en pacientes añosos, con patologías concomitan-tes o con una velocidad de crecimiento anual baja en los que no aumente la sintomatología y que harían de la cirugía un mayor riesgo que beneficio; tratamiento quirúrgico por distintas vías de abordaje: transilaberíntica, retrosig-moidal y por fosa media realizándose una u otra dependiendo del tamaño tumoral y la intención de preservar la audición; y finalmen-te y como tercera opción nos encontramos con la radioterapia estereotáxica que tiene como objetivo prevenir el mayor crecimiento tumoral mientras se preservan la función auditiva y facial. No hay evidencias científicas probadas sobre cuál opción es la mejor. Todas ellas son seguras y efectivas pero la decisión debe ser individualizada para cada paciente.

Descripción del caso clínico

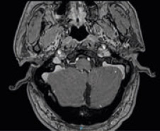
Paciente de 63 años de edad, sin anteceden-tes personales de interés, que acude a con-sulta de Otorrinolaringología por hipoacusia bilateral, más acusada en el oído derecho. El paciente fue diagnosticado de enfermedad de Ménière de oído derecho en otro centro hace más de 15 años. Debutó con crisis ver-tiginosas y acúfeno derecho, las crisis fueron desapareciendo progresivamente a la vez que fue aumentando la hipoacusia derecha. En la explora-ción la otoscopia es normal y la exploración neurovestibular no muestra hallazgos patológicos. Se le realiza una audio-metría en la que se observa una hipoacusia neurosensorial bilateral de 80 db en el oído derecho y de 70 db en izquier-do. Según refiere el paciente se le propuso una prueba de imagen cuando comenzó con la clínica pero negó por claustrofobia, por lo que se le propone la realización de RMN craneal, de oído interno y ángulos pontocerebelosos con contraste y el paciente acepta. La cual informa que en ambos ángulos pontocerebelosos se evidencia la presencia de engrosamiento nodular de los paquetes acusticofaciales compatible con neurinoma del acústico bilateral. Las dos lesiones muestran componente intracanalicular cilíndri-ca con crecimiento hacia las cisternas de los ángulos pontocerebelosos con morfología en “cono de helado”. El neurinoma izquierdo muestra un espesor de 4 mm en su porción intracanalicular y diámetro de hasta 10 mm en el ángulo pontocerebeloso. El neurinoma derecho muestra un diámetro de 3 mm en su porción intracanalicular y diámetro de 8 mm en el ángulo pontocerebeloso. A nivel de las estructuras del oído interno no se visualiza el vestíbulo derecho aparentemente ocupado por material de partes blandas que muestra discreto realce en estudio con con-traste que podría corresponder con componente vestibular de neurinoma derecho. Buena visualización de los canales semicirculares. Estructuras de oído interno izquierdo sin alteraciones. Por lo que se concluye la existencia de una tumoración bilateral del ángulo pontocerebeloso compati-ble con neurinoma del acústico bilateral que muestra un componente intracanalicular que se extiende a los ángulos pontocerebelosos. En el oído derecho se asocia ocupación del vestíbulo que podría corresponder con componente vestibular del neurinoma.

Cuando se informa al paciente de su patología se le inte-rroga sobre antecedentes familiares y nos refiere que tiene una hija diagnosticada de neurofibromatosis tipo 2 con neurinoma bilateral que ha sido tratado con radiocirugía. Se decide derivar al servicio de Neurocirugía, que valora como tratamiento la actitud expectante con pruebas de imagen periódicas y estudio genético familiar.

Discusión

Actualmente nos encontramos, frecuentemente, con casos de neurinoma del acústico en fase muy precoz. Hay estudios que muestran que en casi la mitad de los pacientes con síntomas audiovestibulares en los que se realizan pruebas de imagen se encuentran neurinomas como hallazgo casual. El que el paciente consulte precozmente por hipoacusia uni-lateral frecuentemente asociado a acúfeno y el fácil acceso a pruebas de imagen como la RMN craneal, hacen posible un diagnóstico precoz lo que permite que en la mayoría de los casos se pueda llevar a cabo una actitud expectante o en su defecto tratamiento con radiocirugía con la posibilidad de presentar menos efectos secundarios.

Descargar PDF

Archivo: PDF Tamaño: 0.70

Bibliografia

  1. Inter-observer variability between radiologists reporting on cerebellopontine angle tumours on magnetic resonance imaging. Teh SR; Ranguis S; Fagan P J Laryngol Otol; 2017 Jan; 131(S1): S47-S49. PubMed ID: 28164776.
  2. Dazert S, Aletsee C, Brors D, Miynski R, Sudhoff H, Hildmann H, Helms J. Rare tumors of the infernal auditory canal. Eur Arch Otorhinolaryngol 2005; 262: 550-4.
  3. Functional outcome and complications after the microsurgical removal of giant vestibular schwannomas via the retrosigmoid approach: a retrospective review of 16-year experience in a single hospital. Huang X; Xu J; Xu M; Chen M; Ji K; Ren J; Zhong P. BMC Neurol; 2017 Jan; 17(1):18. PubMed ID: 28137246.
  4. Incidental findings on magnetic resonance imaging of the internal auditory meatus performed to investigate audiovestibular symptoms. Htun HM; Mui SL; Williams C; Hans PS. J Laryngol Otol; 2017 Jan; 131(1): 32-36. PubMed ID: 27916018.
  5. Sauvaget E, Kici S, Kania R, Hermán P, Tran BA, Huy P. Sudden sensorlneural Hearing loss as a revealing symptom of vestibular Schwannoma. Acta Otolaryngol 2005; 125: 592-5.
  6. Del Rio L, Lassaletta L, Alfonso C, Sarria MJ, Gavilán J. Disociación clínica-tamaño tumoral en el neurinoma del acústico: ¿realidad o problema de medida? Acta Otorrinolaringol Esp 2006; 57: 345-49.
  7. Audiovestibular Function Deficits in Vestibular Schwannoma. von Kirschbaum C; Gürkov R. Biomed Res Int; 2016; 2016(): 4980562. PubMed ID: 27747231.
  8. A Diagnostic Dilemma: Multiple Primary Intracranial Tumors Without Vestibular Schwannomas. Faucett EA; Larsen BT; Khan R; Chiu AG; Chang EH. Ann Otol Rhinol Laryngol; 2016 Nov; 125(11): 938-942. PubMed ID: 27553596.
  9. Chen DA. Acoustic neuroma in a private neurotology practic e: trends in demographics and practic e patterns. Laryngoscope 2007; 117(11): 2003-12.
  10. Khrais T, Romano G, Sanna MJ. Nerve orlgln of vestibular schwannoma: a prospectlve study. J Laryngol Otol 2007; 122: 128-31.
  11. [The management evolution for vestibular schwannoma: history and current situation]. Hu LY; Wang ZY; Hua QQ; Zhonghua Er Bi Yan Hou Tou Jing Wai Ke Za Zhi; 2016 Jun; 51(6): 469-72. PubMed ID: 27345891.
  12. [THE MULTIDISCIPLINARY TREATMENT OF VESTIBULAR SCHWANNOMA (ACOUSTIC NEUROMA)]. Cohen-Inbar O; Harefuah; 2016 Mar; 155(3): 181-4, 194-5. PubMed ID: 27305754.
  13. Mirzayan MJ, Gerganov VM, Lüdemann W, Oi S, Samii M, Sami A. Management of vestibular schwannomas in young patients—comparison of clinical features and outcome with adult patients. Childs Nerv Syst 2007; 23: 891-5. ç
  14. Forton G, Cremers C, Offeciers E. Acoustic Neuroma Ingrowth In The Cochlerar Nerve: Does It Influence The Clinical Presentaron? Ann Otol Rhinol Laryngol 2004; 113: 582-86.
  15. Roehm PC, Gantz BJ. Management of Acoustic Neuromas in Patients 65 Years or Older Otology & Neurotology 2007; 28: 708-14.
  16. Weil RS, Cohen JM, Portarena I, Brada M. Optimal dose of stereotactic radiosurgery for acoustic neuromas: a systematic review. Br J Neurosurg 2006; 20(4): 195-202.

Si quieres participar enviando casos clínicos, imágenes clínicas comentadas o formación médica, puede enviárnolos a gaesmedica@cpp-proyectos.com.

Normas editoriales
Descargar

PDF Tamaño: 205 kb