ORL

Sin recurrir a exploraciones complementarias

ISBN: 978-84-09-13648-3
Editor: Carlos Escobar Sánchez

Dra. Mª Ángeles Rodríguez (Murcia)

Traumatismos faciales

Los traumatismos faciales aparecen con frecuencia formando parte de un politraumatismo, por lo que en primer lugar haremos una evaluación rápida de las posibles lesiones con riesgo vital, es decir una valoración global a pesar de la espectacularidad de las lesiones faciales.

Se producen en accidentes de tráfico, deportivos, caídas y agresiones, pudiendo afectar a la vía aérea, al sistema circulatorio y asociarse a traumatismos craneales.

Por otro lado, los traumatismos faciales tienen importantes alteraciones funcionales y en los órganos de los sentidos, con la consiguiente repercusión psicológica por la visibilidad de las lesiones.

Exploración general

Se basa en el enfoque A B C (Airway, Breathing, Circulation).

Inicialmente comprobaremos la permeabilidad de la vía aérea. Se debe explorar la cavidad bucal, retirar los posibles cuerpos extraños (prótesis, dientes, coágulos, etc). y traccionar de la lengua si esta cae hacia atrás en las fracturas múltiples mandibulares.

Se debe evaluar la función respiratoria, es decir, la frecuencia, profundidad y simetría de los movimientos torácicos.

En cuanto al sistema circulatorio, se debe valorar el color, temperatura, frecuencia cardiaca y tensión arterial para descartar un posible shock hipovolémico por hemorragias internas o de la región facial.

Por último, hay evaluar un posible traumatismo craneal, controlando el nivel de conciencia y descartando una midriasis.

Exploración facial

El examen clínico facial, debe hacerse de forma ordenada, sistemática, simétrica y por tercios faciales (superior, medio e inferior). Buscaremos asimetrías, heridas, hemorragias y/o hematomas.

La palpación se realiza en sentido cráneo-caudal, comenzando por la región parietal, temporal y frontal. Se desciende por los rebordes orbitarios, explorando las órbitas, los huesos propios, los arcos cigomáticos, los pabellones auriculares y conductos auditivos externos, el maxilar superior y la mandíbula. Se debe comprobar la apertura oral, los movimientos mandibulares anómalos o de las piezas dentarias, las alteraciones en la oclusión, crepitaciones, escalones y deformidades. Exploramos si hay dolor (espontáneo, a la presión o en movimientos mandibulares), pérdida de sensibilidad o alteraciones oculares (exoftalmos, enoftalmos y diplopia).

Fracturas faciales y clínica asociada

  • Las fracturas del tercio superior de la cara y frontosinusales aparecen generalmente tras agresiones o accidentes de tráfico y suelen asociarse a fracturas del tercio medio. Los signos de sospecha clínica son las heridas, el hundimiento frontal, la rinolicuorrea o la presencia de LCR en la herida.
  • Fracturas del tercio medio de la cara y orbitarias. En una fractura aislada del arco podemos encontrar hundimiento, hematoma y limitación de los movimientos mandibulares por interposición de la apófisis coronoides. En fracturas más extensas del complejo cigomático hay hundimiento del trípode malar y afectación del suelo y/o pared lateral de la órbita. En las fracturas orbitarias (foto 1), se pueden palpan escalones en el reborde aparecer hematomas, enoftalmos, distopia y diplopia por atrapamiento de la musculatura, así como alteraciones de la sensibilidad por afectación del nervio infraorbitario.
/uploads/imgen/1434-image002.jpg
  • Las fracturas nasoetmoidales pueden presentar hematomas, edema nasofrontal, crepitación, acortamiento del dorso, retrusión de la raíz y puente nasal, telecanto y enoftalmos (foto 2). Se suelen asociar a fracturas complejas de la órbita.
Foto 2: Fractura complejo nasoorbitoetmoidal

Las fracturas del maxilar superior se clasifican en Le Fort I, II y III. La fractura Le Fort I es horizontal desde la y sólo afecta al maxilar. La de tipo Le Fort II tiene un trazo piramidal desde la raíz nasal a la apófisis pterigoides, afectando al reborde infraorbitario. En el tipo Le Fort III o disyunción cráneo-facial la línea de fractura pasa por la sutura cigomático frontal, raíz nasal y afecta a las paredes lateral y medial de la órbita. Clínicamente, presentan maloclusión, mordida abierta por impactación del maxilar, aplanamiento facial, edemas y hematomas, entre otros signos.

  • En las fracturas del tercio inferior de la cara se distinguen las de mandíbula y las dentoalveolares. En las fracturas de mandíbula, el signo guía es la alteración de la oclusión y el dolor con el movimiento (foto 3) Además, pueden producirse alteración de la sensibilidad del labio, deformidades, impotencia funcional, trismus, sialorrea secundaria al dolor y otorragia en las fracturas de cóndilo. Ante un traumatismo en el mentón, hay que pensar siempre en una fractura de cóndilo. Según Ceallaigh y colaboradores, “Probablemente la característica mas importante de las fracturas de mandibula es la alteración de la oclusión“.
Foto 3: Fractura sinfisaria de mandíbula

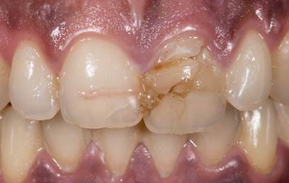
Las fracturas dentoalveolares se caracterizan por la movilidad, desplazamiento, pérdida o fractura de piezas dentarias (foto 4). Los mismos autores consideran que “el tratamiento de las fracturas dentoalveolares requiere la reposición manual del segmento de los dientes desplazados a la posición correcta”.

Foto 4: Fractura dentoalveolar
  • Las fracturas panfaciales aparecen en politraumatizados, con la posibilidad de asociar un traumatismo craneal (foto 5).
Foto 5: Fractura panfacial

Por tanto, ante un traumatismo facial, son la clínica del paciente, la exploración y el conocimiento del mecanismo de la fractura, lo que nos permite establecer un diagnóstico inicial bastante preciso sobre los huesos afectados y la repercusión de las lesiones. Antes de tratar de urgencia las fracturas mediante control de la hemorragia e inmovilización, hay que identificar las lesiones con riesgo vital. Posteriormente, se realiza un diagnostico más preciso que permita el tratamiento definitivo.