Gloria Guerra-Jiménez, Isaura Rodríguez, Silvia Borkoski, Aser Armesto, Alejandra Arenas Rodríguez y Ángel Ramos (Las Palmas de Gran Canaria)
Las otitis medias y sus complicaciones
Definimos otitis media como la inflamación del revestimiento mucoperióstico del oído medio. Si bien es posible la perpetuación de este proceso a nivel otológico, generalmente las otitis se relacionan con procesos inflamatorios de las vías aerodigestivas superiores.
La otitis media secretoria o serosa suele aparecer en casos de disfunción tubárica causada por hiperplasia de la amígdala faríngea, rinitis, sinusitis, dismorfias septales y tumores de cavum, entre otros. Es muy frecuente en niños y se manifesta como hipoacusia de conducción en el contexto de un catarro de vías altas frecuentes, roncopatía o respiración bucal continua. En casos persistentes o recidivantes puede conducir al retraso del desarrollo del lenguaje. Los adultos pueden referir plenitud ótica, autofonía y acúfenos. En la imagen otoscópica, el tímpano tiene aspecto mate, engrosado, melicérico o azulado, sin triángulo luminoso, y en ocasiones se ven a su través niveles hidroaéreos. La foto 1 muestra la otoscopia de un adulto con otitis media serosa complicada con una laberintitis. En casos de otitis serosa de larga evolución puede observarse retracción timpánica progresiva y formación de depósitos calcáreos e hialinos que forman placas blanquecinas o amarillentas.

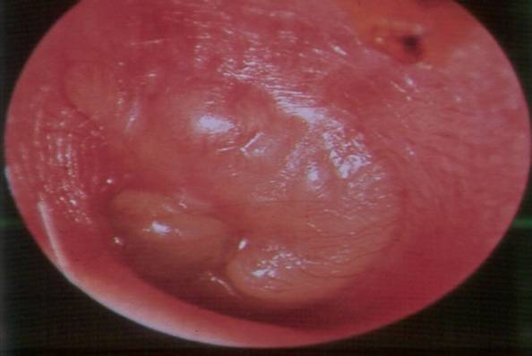
La otitis media aguda o exudativa es una de las enfermedades infecciosas más frecuentes de la infancia. Se produce con frecuencia como complicación de catarros comunes u otras afecciones de vías aerodigestivas superiores. En las etapas iniciales, se manifiesta con otalgia intensa, pulsátil y progresiva e hipoacusia; en niños, se acompaña de un cuadro sistémico con fiebre, irritabilidad, rechazo de la alimentación y alteración del estado general. En la otoscopia se objetiva abombamiento, opacidad y eritema de la membrana timpánica (foto 2). Tras 2 o 3 días, puede producirse una perforación timpánica, momento en el que cesa bruscamente el dolor, mejora el estado general y se observa otorrea hematopurulenta en el conducto auditivo, que si se aspira, permite ver una pequeña perforación timpánica central generalmente en su cuadrante antero-inferior por la que brota pus, lo que conocemos como otitis media aguda supurada (Foto 3). A la semana, comienza un estadio de reparación, con cese de la supuración, cierre de la perforación y recuperación de la audición. Con frecuencia, no se desarrollan todas las fases de este cuadro típico.


La miringitis bullosa es una infección vírica del tímpano, que suele aparecer en el contexto de un catarro de vías altas. Cursa con una otalgia muy intensa e hipoacusia transmisiva leve-moderada. Característicamente en la otoscopia pueden observarse ampollas de contenido hemático sobre la membrana timpánica que al romperse dan lugar a otorragia y alivio del dolor (foto 4, nota: el punteado blanquecino se debe al tratamiento previo con ciprofloxacino tópico). Si bien ambas entidades pueden cursar con otorragia, es mucho más probable el diagnóstico de una otitis media aguda supurada que una miringitis bullosa.

Otalgia y otorragia en paciente con antecedentes de catarro de vías altas; previamente pautado tratamiento tópico con ciprofloxacino. En la membrana timpánica se aprecian varias ampollas cargadas de contenido hemático. Miringitis bullosa. Nota: el punteado blanquecino en la imagen corresponde al tratamiento tópico con ciprofloxacino.
La persistencia en el tiempo de la otorrea más de 12 semanas se define como otitis media crónica, que se clasifica según la localización de la perforación timpánica en varias formas clínicas.
Cuando la perforación, independientemente de su tamaño, no contacta con el annulus, el proceso se denomina otitis media crónica simple o con perforación central. Se desarrolla por desequilibro en la flora bacteriana, factores inmunológicos del huésped y condiciones ambientales. Se manifiesta con supuración ótica intermitente e hipoacusia de intensidad variable. En la otoscopia se visualiza una perforación timpánica de tamaño variable, que respeta el margen timpánico y, en las reagudizaciones, aparecen exudados purulentos, granulaciones y pólipos.
La otitis media crónica con perforación marginal o otitis media crónica osteítica se caracteriza porque la perforación afecta al annulus timpánico (foto 5), por su capacidad de destrucción mucosa y ósea, destruyendo con cada reagudización la cadena de huesecillos y las paredes del oído medio. Puede surgir de novo, aunque generalmente lo hace como consecuencia de una otitis media aguda de mucha virulencia o de una bolsa de retracción timpánica. Los cambios patológicos en el oído medio pueden favorecer la migración de células epidérmicas, y generar un colesteatoma, que es un pseudotumor formado por el crecimiento de epitelio queratinizado dentro del oído medio. Aunque generalmente los colesteatomas están relacionados con otitis medias crónicas, en ocasiones y especialmente en niños, constituyen una entidad independiente denominada colesteatoma primario o a tímpano cerrado. La otitis media crónica osteítica se manifiesta con otorrea persistente, escasa, espesa, parduzca, fétida, con detritus y escamas epidérmicas. La hipoacusia es de conducción o mixta y de intensidad variable según el grado de destrucción. En ocasiones el colesteatoma actúa de transmisor supliendo la función de la cadena osicular, de forma que la audición no se relaciona con la gravedad de la osteítis. En la imagen otoscópica se observa signos de destrucción de los huesecillos y de las paredes de la caja timpánica, escamas del colesteatoma, granulaciones y pólipos a través de la perforación (foto 6). La aparición de vértigo de características periféricas indica la existencia de erosión ósea del laberinto o fístula laberíntica, generalmente en el conducto semicircular lateral.


Otorrea fétida e hipoacusia de años de evolución, acude por vértigo de instauración aguda. En la otoscopia, tras aspirar supuración purulenta, se observa un gran pólipo procedente del ático así como una masa blanquecina escamosa que, procedente del ático, ocupa mesotímpano e hipotímpano. Otitis media crónica colesteatomatosa, complicada con una fístula laberíntica, probablemente del canal semicircular lateral.
La eventual propagación de este foco infeccioso por erosión ósea o por tromboflebitis conduce a la aparición de complicaciones, que se dividen en extracraneales, cuando afecta a distintas regiones del hueso temporal e intracraneales, cuando la infección afecta al endocráneo.
La mastoiditis aguda es la complicación más frecuente de las otitis medias; ocurre generalmente en niños como complicación de una otitis media aguda y se caracteriza por la aparición de edema, eritema y dolor a la presión retroauricular con aumento del ángulo cefaloauricular. La infección en la mastoiditis aguda se puede exteriorizar tras la destrucción de la cortical mastoidea y formar un absceso subperióstico que puede drenar pus por la región retroauricular. Si se extiende hacia el conducto auditivo se forma un absceso de Luc con o sin fístula de Gellé, o si lo hace hacia las celdillas de la escama temporal y el cigoma se produce un absceso cigomático.
La ruptura de la cortical mastoidea en la punta de la mastoides puede ocasionar la progresión de la infección hacia el cuello y la formación de un absceso entre los músculos esternocleidomastoideo y digástrico (mastoidistis de Bezold), en el interior del esternocleidomastoideo (pseudo-Bezold), o en el espacio retroestíleo (mastoiditis yugulodigástrica de Mouret). En estos casos, la tortícolis es el síntoma de alarma por el riesgo de progresión de la infección hacia el cuello y el tórax.
La segunda complicación más frecuente de las otitis medias es la parálisis facial periférica, que se produce habitualmente por afectación del nervio en el conducto de Falopio, más frecuentemente por un colesteatoma, o por una otitis media aguda o serosa.
La afectación de la cápsula ótica se denomina laberintitis: cursa con un cuadro de vértigo, hipoacusia y acúfeno. Inicialmente ocurre una irritación reversible o laberintitis serosa (foto 1) pero si la destrucción progresa a una laberintitis purulenta las secuelas serán irreversibles.
La petrositis, puede ocurrir por extensión de la infección a las celdas del peñasco. Dependiendo de las estructuras dañadas se describen diversos cuadros clínicos como el síndrome de Vail, con afectación del nervio vidiano, que produce neuralgia y rinitis vasomotora; y el síndrome de Gradenigo, que se caracteriza por la tríada de otitis media, diplopía (por afectación del nervio motor ocular externo) y neuralgia del trigémino.
Las complicaciones intracraneales de la otitis media resultan extremadamente infrecuentes en la actualidad. Deben sospecharse ante pacientes con otitis en los que aparece cefalea importante, rigidez de nuca o clínica neurológica focal. Se clasifican siguiendo un criterio topográfico, de forma que, si la infección se localiza entre la pared ósea y la duramadre, se produce un absceso extradural pudiendo progresar hacia una tromboflebitis del seno lateral, un absceso subdural y meningitis si alcanza el espacio aracnoideo. Si la infección llega al parénquima cerebral puede ocasionar una encefalitis y/o absceso cerebral (foto 5), cuadros clínicos que en la mayoría de los casos suelen coincidir en el mismo paciente.